목동임플란트를 시작하기 전에 알아야 할 것은?

목동임플란트

 

치아는 우리 몸에서 가장 단단한 곳으로 꼽히는 부위입니다.

따라서, 입안으로 들어온 음식을 잘게 자르고 쪼개어

소화를 돕고 몸에 필요한 영양소를 섭취할 수 있습니다.

얼굴을 형태를 잡아주는 것은 물론,

올바른 발음을 구사하는데도 필수적으로 사용되죠.

 

그러나, 노화를 비롯하여 예상치 못한 사고나 외상,

관리 소홀로 인해 발생한 구강질환 등으로 인해

치아를 상실하는 상황이 생기곤 합니다.

치아 상실은 음식을 제대로 저작하지 못해 식사가 어려워질 뿐 아니라

입술과 뺨, 인중을 지탱해 주지 못해

입가 주름이 깊어지고 안모의 변형을 유발할 수 있습니다.

부위에 따라 다르지만, 앞니를 상실하면 말을 하는데 어려워지며

눈에 띄는 위치에 있는 탓에 심미적으로도 문제가 생깁니다.

영구치로 교환된 이후에는 더 이상의 치아 맹출이 없기 때문에

목동임플란트를 통해 빈 공간을 수복해 주어야 합니다.

 

 

자연치아를 대체할 수 있는 다양한 방법이 있지만,

임플란트는 잇몸뼈에 인공치근을 식립하여

견고하게 고정되기 때문에 자연치아의 기능을 80% 이상 복원할 수 있으며

우수한 심미성까지 갖추고 있습니다.

 

틀니, 브릿지와 달리 인접치를 깎아내거나 탈부착의 번거로움이 없고

사후관리에 신경을 써준다면 반영구적인 사용이 가능하다는 장점 역시 있는데요,

그럼에도 불구하고 비용에 대한 부담으로 망설이는 분들이 계십니다.

 

무조건 포기하기보다는 건강보험 임플란트를 활용하는 것이 좋습니다.

만 65세 이상 건강보험 가입자 및 피부양자라면

상악이나 하악 또는 어금니, 앞니 구분 없이

평생 1인당 2개씩 PFM 보철 수복 임플란트를 본인 부담률 30%로 진행이 가능하므로

비용에 대한 부담을 덜 수 있습니다.

 

 

다만, 남아있는 치아가 하나도 없는 완전 무치악의 경우에는 해당되지 않으며

잇몸 상태가 좋지 않아 골 이식, 상악동 거상술 등

추가적인 과정이 필요한 경우 비용이 별도 청구됩니다.

 

건강보험 임플란트의 경우 한 번 시작하면 도중에 의료기관을 변경하기 어렵기 때문에

치과를 선택하실 때 더욱 신중히 알아보고 결정해야 합니다.

 

목동임플란트의 성공 여부는 인공치근과 치조골이 얼마나 잘 유착되느냐에 따라

결정된다고 할 정도로 골 유착은 식립 과정에서 가장 중요한데요,

체계적인 진료 계획을 수립한 다음 식립을 진행해야 튼튼히 고정될 수 있으며

주변 조직에 문제를 일으키지 않고 건강한 회복이 이루어집니다.

 

 

환자마다 턱뼈와 잇몸뼈의 상태, 신경관의 위치 등 구강구조가 모두 다르기 때문에

그에 따라 접근 방법도 다르게 결정됩니다.

 

따라서, 본원은 3D CT 장비를 이용하여 육안으로 확인이 어려운

해부학적인 구조물까지 면밀히 검진한 결과를 토대로

환자분과의 충분한 상담을 통해 진료 계획을 수립합니다.

 

진단부터 진료, 사후관리까지 1:1 맞춤으로 진행하는데요,

풍부한 임상 경력을 바탕으로

광범위한 뼈이식, 앞니/어금니, 전체, 틀니 등 고난이도 임플란트는 물론,

고혈압과 당뇨 등 내과적 만성 질환을 가진 환자분 역시

성공적으로 목동임플란트를 식립하고 있습니다.

 

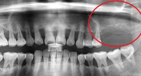
고운미소치과의 뼈이식 임플란트!

 

위 턱뼈는 아래턱뼈보다 얇고 코와 뺨 사이

빈 공간 (상악동)이 있어서 임플란트를 식립할 경우 실패 가능성이 높아집니다.

 

부족한 뼈를 보충하기 전 상악동 거상술을 시행할 때

노하우가 부족하면 임플란트 식립 후 쉽게 빠져버리거나

입 천장 쪽에 천공이 나는 부작용이 생기기 때문에

치과 진료 중 난도가 높은 과정에 속합니다.

 

 

본 환자분은 부족한 잇몸뼈를 보충하는 뼈 이식술과

난도 높은 상악동 거상술을 진행해 안정적인 목동임플란트 수술을 마쳤습니다.

 

연세고운미소치과 목동점 문원규 박사 (대표원장)는

턱뼈의 해부학적 구조를 충분히 고려하여 임플란트 수술을 해온 노하우를 바탕으로

상악동 거상술을 비롯한 난도 높은 수술을 안정적으로 진행하고 있습니다.

 

 

철저한 소독과 멸균을 시행하여

내 가족도 안심하고 진료받을 수 있는 깨끗한 진료 환경을 추구합니다.

감염 관리 매뉴얼을 적용함으로써 1회용 기구 사용과

고압증기 멸균기를 시행하고 1인 1기구 원칙을 지킵니다.

 

‘자연치아 보다 좋은 것은 없습니다’

 

연세고운미소치과 목동점은

보존과, 구강외과, 교정과의 진료별 협진 시스템을 통해

자연치아의 수명을 연장시키려고 노력하고 있습니다.

꼭 필요한 진료만 권해드리며, 자연치아를 최대한 보존한 후

목동임플란트 최소 식립을 진행합니다.

 

 

연세고운미소치과는 2002년 개원 이래 한결같이 지켜 온

환자 중심의 진료 철학을 바탕으로 ‘고운미소치과 네트워크’ 1호점으로

양천구 목동에서 오랜 시간 자리를 지켜왔습니다.

앞으로도 언제나 믿고 내원하실 수 있도록 항상 최선을 다하여 노력하겠습니다.

바쁜 일상을 보내고 계시는 분들을 위해

매주 화요일마다 오후 8시 30분까지 야간진료하고 있으므로 편히 내원하시길 바랍니다.

 

​네이버 지도 바로가기

 




문의 전화

02-2642-3960

네이버 예약

네이버 예약