목동치아교정

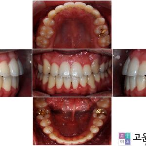
목동치아교정 🦷임플란트 & 교정시술 사례🦷

목동치아교정 🦷임플란트 & 교정시술 사례🦷 연세고운미소치과 목동점은 ‘고운미소치과 네트워크’1호점으로 2002년부터 양천구 목동에서 자리를 지켜왔습니다. · 치의학 박사 문원규 원장님 직접 진료 · 자연치아 보존한 후 최소 식립 · 치쥐료 후 건강한 잇몸에 식립 · 교정과 협진으로 식립 개수를 줄이는 노하우 · 임플란트 보증 사후 관리 시스템 과잉진료 없는 정밀한 검진, 더보기…

목동치과

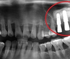
목동치과 🦷구치부 전악 임플란트 사례🦷

목동치과 🦷구치부 전악 임플란트 사례🦷   연세고운미소치과 목동점은 ‘고운미소치과 네트워크’1호점으로 2002년부터 양천구 목동에서 자리를 지켜왔습니다. · 치의학 박사 문원규 원장님 직접 진료 · 자연치아 보존한 후 최소 식립 · 치쥐료 후 건강한 잇몸에 식립 · 교정과 협진으로 식립 개수를 줄이는 노하우 · 임플란트 보증 사후 관리 시스템 과잉진료 없는 정밀한 더보기…

오목교역치과

오목교역치과 🦷임플란트 시술 사례🦷

오목교역치과 🦷임플란트 시술 사례🦷   연세고운미소치과 목동점은 ‘고운미소치과 네트워크’1호점으로 2002년부터 양천구 목동에서 자리를 지켜왔습니다. · 치의학 박사 문원규 원장님 직접 진료 · 자연치아 보존한 후 최소 식립 · 치쥐료 후 건강한 잇몸에 식립 · 교정과 협진으로 식립 개수를 줄이는 노하우 · 임플란트 보증 사후 관리 시스템 과잉진료 없는 정밀한 검진, 더보기…

목동치과

목동치과 🦷임플란트 시술 사례🦷

목동치과 🦷임플란트 시술 사례🦷 연세고운미소치과 목동점은 ‘고운미소치과 네트워크’1호점으로 2002년부터 양천구 목동에서 자리를 지켜왔습니다. · 치의학 박사 문원규 원장님 직접 진료 · 자연치아 보존한 후 최소 식립 · 치쥐료 후 건강한 잇몸에 식립 · 교정과 협진으로 식립 개수를 줄이는 노하우 · 임플란트 보증 사후 관리 시스템 과잉진료 없는 정밀한 검진, 만족스러운 더보기…

목동교정치과

목동교정치과 🦷임플란트 & 교정시술 사례🦷

목동교정치과 🦷임플란트 & 교정시술 사례🦷   연세고운미소치과 목동점은 ‘고운미소치과 네트워크’1호점으로 2002년부터 양천구 목동에서 자리를 지켜왔습니다. · 치의학 박사 문원규 원장님 직접 진료 · 자연치아 보존한 후 최소 식립 · 치쥐료 후 건강한 잇몸에 식립 · 교정과 협진으로 식립 개수를 줄이는 노하우 · 임플란트 보증 사후 관리 시스템 과잉진료 없는 정밀한 더보기…

목동치과

목동치과 내 치아를 지키는 방법

목동치과, 치아 건강은 삶의 질과 직결됩니다. 단순히 씹는 기능을 넘어 전신 건강에도 영향을 미치기 때문입니다. ​신정동치과 연세고운미소치과 목동점 에서는 자연치아 보존을 최우선으로 하는 진료를 원칙으로 삼고 있습니다. ​ 임플란트는 치아를 대체하는 뛰어난 방법이지만, 자연치아만큼 강하고 오래 유지되는 것은 아닙니다. ​ 따라서 최대한 자연치아를 살리는 것이 가장 중요하며, 꼭 필요한 경우에만 더보기…

목동치아교정

목동치아교정 20년간 한자리를 지켜온 실력으로, 평생 주치의가 되겠습니다.

목동치아교정 만약 부정교합이나 돌출입, 덧니 등의 문제를 겪고 있다면, 미적인 면뿐만 아니라 기능적인 측면에서도 어려움이 생길 수 있습니다. 고르지 않은 치열은 음식물 제거가 어려워 구강 위생을 유지하기 힘들고, 이로 인해 충치가 발생할 확률이 높습니다.   또한 저작능력의 저하와 발음이 부자연스러워지는 불편함이 있을 수 있습니다. 주걱턱, 무턱, 돌출입 등 다양한 원인으로 더보기…

목동교정치과

목동교정치과 주치의가 바뀌지 않습니다

목동교정치과, 치아의 배열이 고르지 않거나 모양에 불만을 가지시는 분들이 많습니다. 체중이 늘면 운동이나 식이요법 등으로 관리할 수 있지만, 치아는 마음만으로 교정되지 않죠. 그래서 많은 분들이 치과를 찾아 교정을 통해 원하는 치열을 갖게 됩니다. ​ 치아는 마음대로 변화하기 어려운 신체 부위이기 때문에, 고민이 생기면 전문가의 상담을 통해 본인의 치아 상태를 정확히 더보기…

목동치과

목동치과 교정잘하는곳 임플란트와 교정 병행해서 밝은 미소 되찾았어요

목동치과 교정잘하는곳 치열이 고르지 않은 사람들은 새로운 사람을 만나거나 웃을 때 손으로 입을 가리거나 웃는 횟수를 줄이는 경우가 많습니다. 치열은 시간이 지나면서 자연스럽게 고쳐지지 않기 때문에 많은 분들께서 연세고운미소 교정에 관심을 가져주시고 계시는데요^^ 치아의 배열이 고르지 못하고 형태나 위치에 문제가 있어 윗니와 아랫니가 올바르지 못하게 맞물릴 경우 우리는 이것을 부정교합이라고 더보기…

목동임플란트

목동임플란트를 시작하기 전에 알아야 할 것은?

목동임플란트, 치아는 우리 몸에서 가장 단단한 곳으로 꼽히는 부위입니다. 따라서, 입안으로 들어온 음식을 잘게 자르고 쪼개어 소화를 돕고 몸에 필요한 영양소를 섭취할 수 있습니다. 얼굴을 형태를 잡아주는 것은 물론, 올바른 발음을 구사하는데도 필수적으로 사용되죠. ​ 그러나, 노화를 비롯하여 예상치 못한 사고나 외상, 관리 소홀로 인해 발생한 구강질환 등으로 인해 치아를 더보기…

문의 전화

02-2642-3960

네이버 예약

네이버 예약