목동치과 내 치아를 지키는 방법

치아 건강은 삶의 질과 직결됩니다.
단순히 씹는 기능을 넘어
전신 건강에도 영향을 미치기 때문입니다.
목동치과 연세고운미소치과 목동점 에서는
자연치아 보존을 최우선으로 하는
진료를 원칙으로 삼고 있습니다.
임플란트는 치아를 대체하는 뛰어난 방법이지만,
자연치아만큼 강하고 오래 유지되는 것은 아닙니다.
따라서 최대한 자연치아를 살리는 것이
가장 중요하며, 꼭 필요한 경우에만
임플란트 치료를 진행합니다.

자연치아 보존 프로그램
1. 3D CT 촬영
치아와 잇몸뼈 상태를 정밀하게 진단하여
치료 방향을 결정합니다.
2. 의료진 협진 시스템
여러 분야의 의료진이 협력하여
환자에게 최적의 치료법을 고민합니다.
3. 맞춤형 치료 계획
환자의 구강 상태를 면밀히 분석하여
개인별 맞춤 치료를 제공합니다.
4. 자연치아를 살리기 위한 노력
불필요한 발치를 줄이고
자연치아를 최대한 살립니다.
자연치아를 유지하면, 임플란트 개수를 줄여
경제적 부담을 덜 수 있습니다.
또한 치아를 뽑아야 하는 경우에도
잇몸뼈 건강을 고려하여 수술 후에도
안정적인 결과를 얻을 수 있도록 합니다.
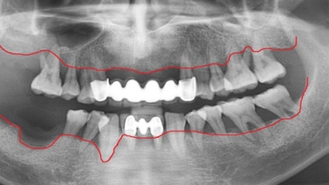
목동치과의 치주 임플란트 치료 사례
자연치아를 보존하는 방법 중 하나로
치주 임플란트 를 활용하는 치료가 있습니다.
치주 치료를 병행하여 잇몸뼈의 건강을 회복한 후
꼭 필요한 개수만 식립하는 방법입니다.


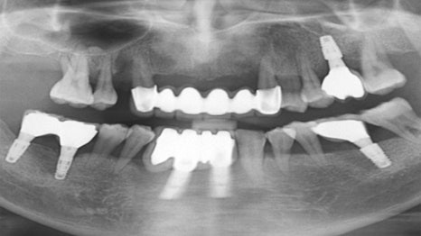
사례 1
과잉진료 없이 꼭 필요한 임플란트만 식립
다른 치과에서 6개 치아 발치 후 12개 임플란트를
권유받았던 환자분이 내원하셨습니다.
연세고운미소치과에서는 레이저 치주 치료를
진행하여 치아를 살리고, 최종적으로 6개의
임플란트만 식립하여 치료를 마무리했습니다.


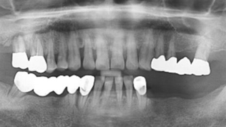
사례 2
크라운 치료를 통한 자연치아 보존
잇몸뼈가 약해 12개 임플란트를 권유받았던
환자분께 치주 치료를 진행한 결과,
전치부(앞니) 잇몸 상태가 개선되어 발치하지 않고
크라운 치료로 복원하였습니다.
어금니에는 6개만 식립하여 기능을 되살렸습니다.


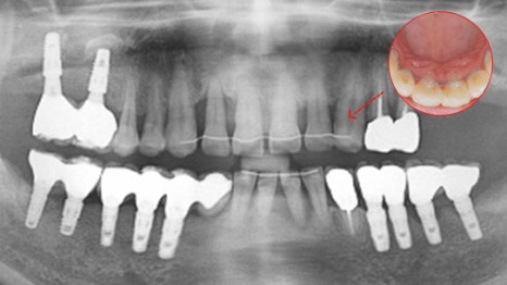
사례 3
교정 유지 장치를 활용한 임플란트
17개 임플란트를 권유받고 방문한 환자분의 경우,
치주 치료 후 앞니 흔들림이 개선되어 발치하지 않고
교정 유지 장치 를 활용하여 보완하였습니다.
기존 보철물을 제거하고 11개의 임플란트를
식립하여 치료를 마무리했습니다.


목동치과에서는 교정 치료와 협진을 통해
식립 개수를 줄이는 전략을 세웁니다.
30대 남성 환자분이 다른 치과에서
5개 임플란트를 권유받고 내원하셨습니다.
본원에서는 돌출입을 개선하는
교정 치료를 함께 진행하여
기존 치아를 활용할 수 있도록 유도하였고,
사랑니를 이동시켜
빈 공간을 채우는 방법을 적용하였습니다.
그 결과, 식립 개수를
5개에서 1개로 줄일 수 있었습니다.
또한, 교정 치료를 통해 잇몸뼈의 높이가 올라가
건강한 상태로 회복되었으며,
입술 라인이 개선되어 심미적인 효과까지
함께 얻을 수 있었습니다.

목동치과의 맞춤형 치료
자연치아와 유사한 구조를 구현하는
맞춤형 임플란트 를 통해
더욱 안정적인 식립이 가능합니다.
✅ 광범위한 지지대 구조
자연치아와 유사한 형태로 제작하여
안정성을 높입니다.
✅ 보철물 밀착 설계
보철물과 지대주(연결 부위)의 틈을 줄여
염증 위험을 줄입니다.
✅ 정밀한 맞춤 제작
환자 개개인의 구강 구조를 고려하여
세밀한 시술을 진행합니다.
만약 여러 개의 임플란트가 필요한 경우,
전체 임플란트를 고려해야 합니다.
이때 숙련된 의료진의 경험이 필수적이며,
고령 환자의 경우 만성질환까지 고려한
세밀한 치료가 중요합니다.


목동치과에서의 고령자 임플란트 치료
연세고운미소치과에서는 고혈압, 당뇨 등의
만성질환을 가진 고령 환자의 전신 건강을 고려하여
치료를 진행합니다.
✅ 내과 협진 시스템
수술 전 혈압과 혈당을 관리하여
안정적인 시술을 진행합니다.
✅ 맞춤형 식립 계획
환자의 잇몸뼈 상태를 정밀하게 분석하여
필요한 부분만 식립합니다.
✅ 정밀한 사후 관리
수술 후 지속적인 모니터링을 통해
건강한 유지 관리를 지원합니다.
사례
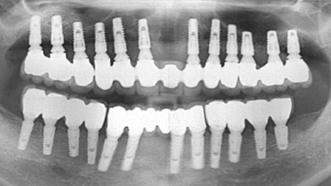
상악(윗니) 틀니를 사용하시던 환자분이
씹는 힘이 약해 대학병원에서 전체 임플란트를
권유받으셨습니다.
비용 부담으로 본원에 내원하셨고,
당뇨 관리와 식생활 개선을 함께 진행한 후
24개를 식립하였습니다.
수술 후에도 내과 협진을 유지하여 혈당을 조절하고
전신 건강이 회복될 수 있도록 도왔습니다.

건강보험 적용 가능 임플란트
✅ 만 65세 이상 건강보험 가입자 또는
피부양자라면 1인당 평생 2개까지
건강보험 적용 이 가능합니다.
✅ 본인 부담금 30% 만 지불하면
치료를 받을 수 있습니다.
✅ 어금니에 적용되며, 앞니는 어금니 식립이
어려운 경우에만 적용됩니다.
보험 임플란트는 분리형 식립 재료를 사용하며, PFM(금속+도재) 보철로 시술받을 수 있습니다.
자세한 내용은 목동치과에서 상담을 통해
확인하실 수 있습니다.

목동치과의 철학
연세고운미소치과 목동점은 환자의 신뢰를
최우선으로 하며, 정직한 진료를 원칙으로 합니다.
치료가 필요하신 분들께
꼭 맞는 해결책을 제안하고,
과잉진료 없이 자연치아를 보존하는
진료를 실천하겠습니다.
환자분들이 평생 신뢰할 수 있는
목동치과 연세고운미소치과 가 되겠습니다. 😊