목동치아교정 만약 부정교합이나 돌출입, 덧니 등의 문제를 겪고 있다면, 미적인 면뿐만 아니라 기능적인 측면에서도 어려움이 생길 수 있습니다. 고르지 않은 치열은 음식물 제거가 어려워 구강 위생을 유지하기 힘들고, 이로 인해 충치가 발생할 확률이 높습니다.

또한 저작능력의 저하와 발음이 부자연스러워지는
불편함이 있을 수 있습니다.
주걱턱, 무턱, 돌출입 등 다양한 원인으로
미적 개선을 원하시는 분들이 많이 내원하시는데요,
오늘은 반대교합과 주걱턱 교정을 위한
양악수술과 함께 진행된 사례를
소개해 드리겠습니다. 😊


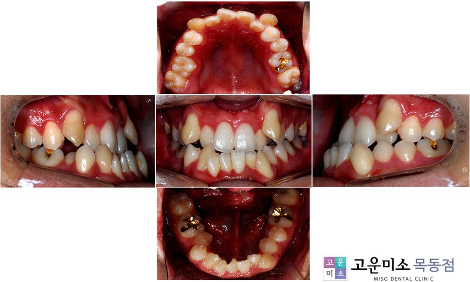
이 환자분은 만 24세의 남성으로,
아래턱이 돌출되어 주걱턱에 대한 고민을 하신 후,
신촌 세브란스 구강외과와 협력하여
목동치아교정을 위해 내원하셨습니다.
입 안의 공간이 협소하여 치아 배열이
많이 어긋나 있고, 옆모습을 보면
윗입술이 아랫입술을 덮지 않고
오히려 아래턱이 나와 있어 아랫입술이 돌출된
주걱턱의 전형적인 형태를 보입니다.
주걱턱은 보통 아래턱이 과도하게 성장하거나,
윗턱의 성장이 부족하여 발생합니다.
윗턱이 작거나 후방에 위치하거나,
아래턱이 전방으로 돌출되면서
골격 부조화가 일어나는 경우입니다.
그렇다면 주걱턱이 있을 때 어떤 불편함이 있을까요?
먼저, 심미적 측면에서 보면
광대뼈가 들어가 있는 것처럼 보이며,
전체적인 얼굴이 평면적인 인상을 줄 수 있습니다.
또한 턱이 돌출되어 심리적으로 위축되거나
자신감이 떨어질 수 있습니다.
더불어 강한 인상이나 화가 난 표정을
주기 쉬운 점도 문제입니다.
교합이 불안정하면 턱관절 장애의 위험도 커집니다.
발음 또한 혀가 입천장에 제대로 닿지 않아
불편함을 겪을 수 있으며,
앞니로 음식을 자르는 것도 어려워집니다.

목동치아교정, 목동 연세고운미소치과에서는
골격의 상태를 정확히 확인하기 위해
엑스레이 분석을 진행하였습니다.
주걱턱의 치료 방법은 수술과 비수술
크게 두 가지로 나눌 수 있습니다.
수술은 일반적으로 알려진 양악수술과 함께
치아교정을 병행하는 방법으로,
골격의 구조에 큰 변화를 주기 때문에
외모적인 개선 효과가 기대될 수 있습니다.
반면, 비수술 치료는 보상치료라고 불리며,
골격의 변화 없이 치아 배열만 조정하는 방법입니다.
이 경우, 외모적인 변화는 제한적이며,
오히려 치료 후 턱 끝이
더 강조되어 보일 수도 있습니다.
수술과 비수술의 선택은 치아 배열만으로
교합을 맞출 수 있는지 여부를 먼저 확인한 후,
환자분의 의견을 바탕으로 결정됩니다.
외모적인 변화가 중요한 경우에는
수술을 고려할 수 있습니다.

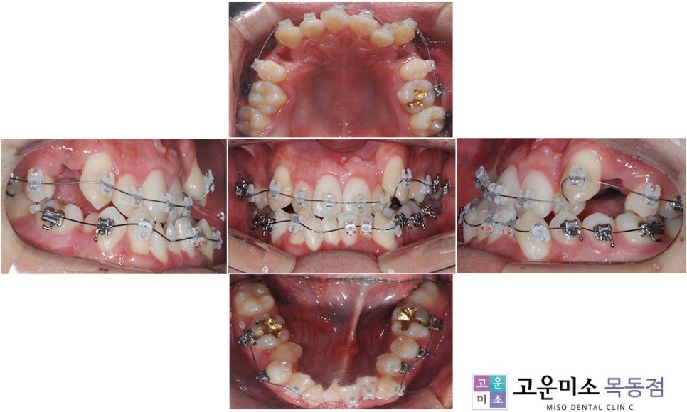
치아교정과 양악수술을 병행하는 경우,
수술 전 교정을 통해 수술에 적합한
치아 배열을 만들어 둡니다.
이후 양악수술을 진행하게 되죠.
수술 전 교정은 수술 시 악골을 적절한 위치로
배치할 수 있도록 돕는 데 초점을 맞추며,
일반적인 교정 방법과는 차이가 있습니다.

이 과정에서는 윗니는 안쪽으로,
아랫니는 바깥쪽으로 향하도록 배열을 조정합니다.
정상적인 교합에서는
윗니가 아랫니를 덮어야 하지만,
반대교합인 경우 이 관계를 회복해야 합니다.
즉, 아래턱이 과도하게 나와 있어
앞니의 관계가 반대로 되어 있는 상태에서
이를 정상으로 되돌려야
수술 후 교정이 원활하게 진행될 수 있습니다.
따라서 수술 전 교정 동안에는
아래턱이 더욱 돌출되어 보이고,
입이 나오면서 발음이 불편하거나
심미적인 불편함이 발생할 수 있습니다.
하지만 이 부분은 수술 후 바로 해결되므로
지나치게 걱정할 필요는 없습니다.
이러한 점을 미리 설명드리며,
목동치아교정을 진행하고 있습니다.
교정 과정 중 외모 변화가 걱정되시는 분들을 위해
이 부분에 대해 충분히 안내해드리고 있으니
안심하셔도 됩니다.

수술 전 교정 과정을 거친 후,
목동 연세고운미소치과에서는
신촌 세브란스 병원과의 협력으로
양악수술을 성공적으로 마쳤습니다.
수술 후에는 치아의 미세한 위치 조정과
교합을 맞추기 위한 추가 교정이 필요합니다.
이때 교합 안정 장치(웨이퍼)를 착용하고,
고무줄을 사용하는 과정이 포함됩니다.
다소 번거롭지만, 이 과정이 제대로 진행되어야
수술 결과를 안정적으로 유지할 수 있기 때문에,
환자분의 협조가 매우 중요합니다.

이 환자분은 치료에 대한 협조가 뛰어나셨고,
그 덕분에 더욱 기억에 남는 사례로 남게 되었습니다.
수술 후 교정 과정이 힘들었지만,
최종 결과를 보고 너무 만족해하셨고,
그동안의 노력과 고생이 보람으로 돌아온 것 같다는
말씀을 해주셨습니다.
정말 수고 많으셨습니다.

목동치아교정, 제대로 된 곳에서
치료를 받는 것이 중요합니다.
치아는 한 번 손상되면 되돌릴 수 없기 때문에
신중한 선택이 필요합니다.
나의 치아 상태, 안면 구조, 그리고 전체적인 골격을
꼼꼼히 분석한 후, 나에게 맞는 최적의 방법을
제시해주는 치과를 찾는 것이 가장 바람직합니다.
목동 연세고운미소치과는
객관적인 검사와 정밀 검진을 통해
단순히 미적인 부분에 그치지 않고,
기능적인 측면까지 고려하여
안정적이고 만족스러운 결과를 제공합니다.
실력 있는 진료로 그 결과를 보여드리고 있습니다.
현재 클리피씨 치아교정 할인 및
상담 비용 혜택 이벤트를 진행 중입니다.
많은 관심 부탁드립니다!
만약 부정교합이나 돌출입, 덧니 등의
문제를 겪고 있다면, 미적인 면뿐만 아니라
기능적인 측면에서도 어려움이 생길 수 있습니다.
고르지 않은 치열은 음식물 제거가 어려워
구강 위생을 유지하기 힘들고,
이로 인해 충치가 발생할 확률이 높습니다.